Renal sympathetic nerve ablation for refractory hypertension

2427 4
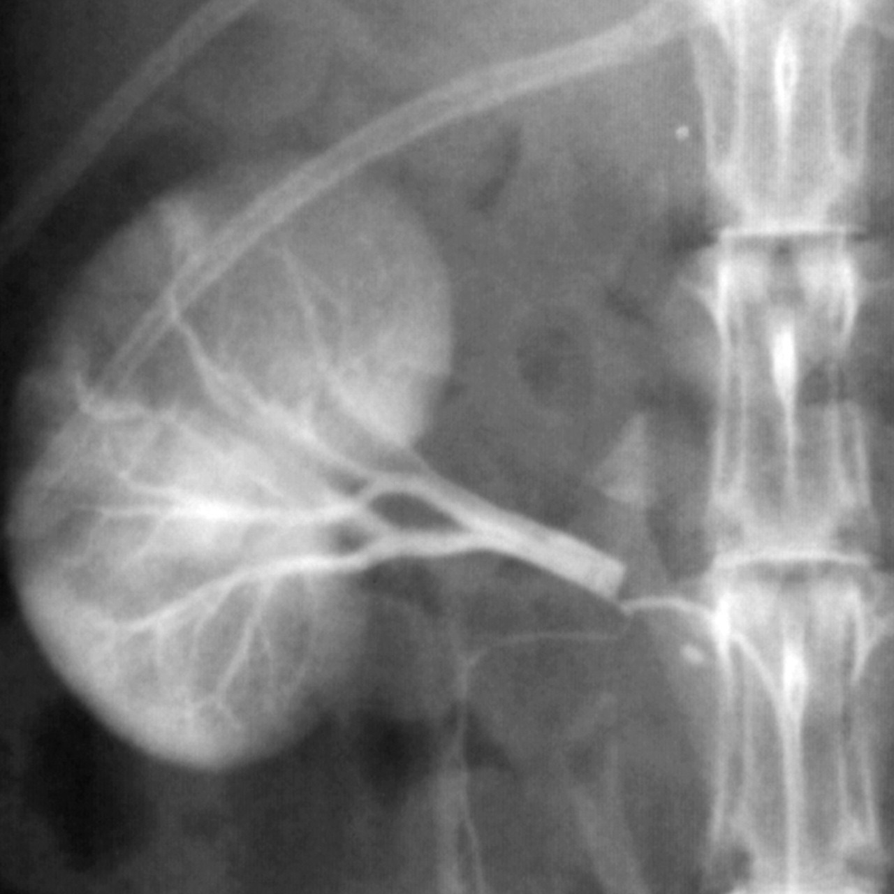
Hypertension continues to be major public health concern. Efforts to manage this sometimes difficult to treat condition have only started to positively impact patient health. In some instances hypertension can be refractory to intense medical therapy. It is difficult to ascribe exactly why medical therapy is ineffective. Some have postulated that this failure to achieve adequate BP control is due to ineffective physician prescribing patterns and/or patient non-adherence to lifelong meds for an asymptomatic illness. However, a certain subset of patients clearly have hypertension that is not amenable to pharmacological intervention (or termed resistant hypertension). A group in Australia published an interesting article in Lancet (April 2009) about a novel catheter-based technique for renal sympathetic denervation as a new therapeutic avenue for resistant hypertension.

Blood pressure homeostasis is achieved by the coordinated action of several bodily systems and the kidney plays a prominent role. The renal sympathetic efferent nerves contribute to volume and BP homeostasis as they innervate the renal tubules, vasculature, and juxtaglomerular apparatus, all of which can impact BP. Historically, surgical lumbar sympathectomy was used for reduction of “resistant hypertension” before effective antihypertensive medications were available. This approach was complicated by significant side effects, such as postural hypotension, syncope, and impotence. Selective renal denervation may offer help for patients with resistant hypertension. With the emergence of interventional techniques for selective ablation of efferent nerves, enter this intriguing study.

The study was performed in Australia and Europe as a proof-of-principle study. This was NOT a randomized clinical trial.
It showed that this novel catheter-based device produced renal denervation and had a substantial decrease in BP in a select group of 45 patients with resistant hypertension.
  1. Mean baseline office SBP and DBP were 177 ± 20 and 101 ± 15 mm Hg
  2. eGFR was 81 ± 23 mL/min/1.73 m2
  3. Patients were on an average of 4.7 BP meds.
The catheter-based radiofrequency sympathetic never ablation resulted in
  1. Renal denervation with a 47% reduction in renal noradrenaline spillover (a marker of sympathetic efferent activity)
  2. 43/45 had no adverse events. 1 patient had renal artery dissection treated with stent. 1 patient had pseudoaneurysm of the femoral artery.
  3. Office SBP and DBP after the procedure (while maintaining patients on their usual meds) were decreased by 27/17 mm Hg at 12 months
  4. eGFR was reported to be stable from baseline (79 ± 21 mL/min/1.73 m2) to 6 months’ follow-up (83 ± 25 mL/min/1.73 m2), with 6 of 25 patients having an increase > 20% in eGFR and only 1 patient with a decrease in eGFR.
  5. Data related to the mechanism of the hypotensive response, such as natriuresis or suppression of renin, angiotensin II, and plasma catecholamines, were not reported.
Catheter based ablation of the renal artery sympathetic nerves offers a novel approach to resistant hypertension. Several limitations are immediately apparent. First, as a proof-of-principle study, a control group was lacking. Secondly, identifying which patients would benefit from such an intervention is not clear. This study was performed in centers with sustantial experience in this procedure. Adverse event rates would likely be much more significant if performed in centers with less experience. I can imagine that damage to renal parenchyma could occur from a variety of mechanisms using this techique (contrast, atheroemboli, bleeding, etc). Lastly, it is not known how long this BP lowering benefit of catheter based ablation would last. I will be curious to see the results of a randomized controlled trial (RCT) of catheter-induced renal sympathetic denervation.

4 comments

  1. I found this article very interesting as I am writing an issue report on renal artery sympathetic ablation for my school project.

    Do you think you could provide some original data and graphs to support this study?

  2. Edgar- thanks for the comment. These are very intriguing studies. Although none have been done with enough rigor as of yet. as for the BP vaccine- I did a journal club a while ago about the angII vaccine.
    (http://www.ncbi.nlm.nih.gov/pubmed/18328929) Was only a phase II trial. Should be a phase III going on now.

    Amit- thanks for the comment. Interesting story. (http://www.ncbi.nlm.nih.gov/pubmed/1454086) This is a link to a study published in the NEJM in 1992 where they tried to answer this exact question. This study followed 18 patients patients on HD with no bilateral nephrectomy (NX) and 5 patients on HD with NX (only 1 for HTN). They measured peroneal nerve sympathetic-nerve discharge with microelectrodes. They found that NE levels in plasma were not reliable indicator. The NX group had lower BP and lower sympathetic discharge. However, only patients on ACEi had high renin levels (which is known to increase after ACEi use). Your comments and this paper are interesting. Hinting that renin release was not the cause of high BP in the paper. My original thought was that it was the innervation to the kidney itself that causes HTN (in patients with intact kidneys). From increased sodium retention etc. However, it also appears that with failed kidneys, renal innervation may be important as well. How this increases PVR and thus HTN could be from central (brain) mediated effects. Overall, I don't know how we will find a group of patients that would benefit from this procedure as of yet. The catheter study I cited above only included patients with normal renal function. So, I think this is a little different than how the mechanism would work in HD patients.

  3. It would sure be nice to see how these patients do in long term
    We had a young 24/M with CGN , ESRD with uncontrolled hypertension. He required 5 antihypertensives in supranormal doses and frequencies including nocturnal dosing, along with iv infusions sometimes to control his pressures. He required ICU admissions thrice for BP control. He would never tolerate HD beyond 3 hours and his pressures would go up on HD. Thinking it to be symapthetic overactivity on HD , we subjected him to bilateral nephrectomy and within 4 days he was off antihypertensives !!
    However 2 weeks later he needed to be restarted on antihypertensives and gradually his requirement increased to original odses inspite of nephrectomy .
    With a great challenge to keep his bp under control for LRRT, he underwent Transplant. Required iV antihypertensives post op.
    However over a month post transplant he was off all antihypertensives and now at a year of follow up , he is still normotensives.. What would you say Matt ? How do we decide who would benefit with this peocedure ?

  4. Nice article – George Bakris and I are doing a chapter for a book called "Arterial HTN." Our chapter deals with new pharmaologic agents in the treatment of HTN. We actually included this as one of our references.
    RHEOS System and BP Vaccines are the other topics.
    EDGAR LERMA

Leave a Reply