At this point, the differential diagnosis included a vasculitis, drug-induced vasculitis (although this is usually associated with higher ANCA titers) or ATN. We proceeded to a renal biopsy.
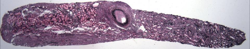
Low power view of the biopsy specimen reveals the presence of an obvious medium-sized vessel – likely an arcuate artery
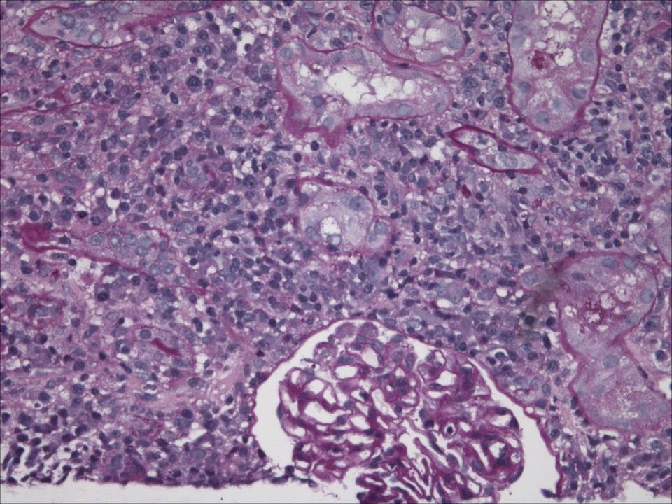
Higher power view of the cortex revealed relatively normal-appearing glomeruli with no inflammation and no crescents. There were some chronic changes with approximately 11% globally sclerosed glomeruli but this was not thought to be related to the current presentation.
There was a dense interstitial infiltrate with many plasma cells and occasional eosinophils. The small arterioles looked normal.
There were two sections of arcuate artery on the specimen:
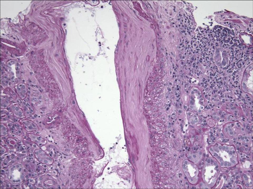
The first section showed some arteriosclerosis and some perivascular inflammation but no vasculitis
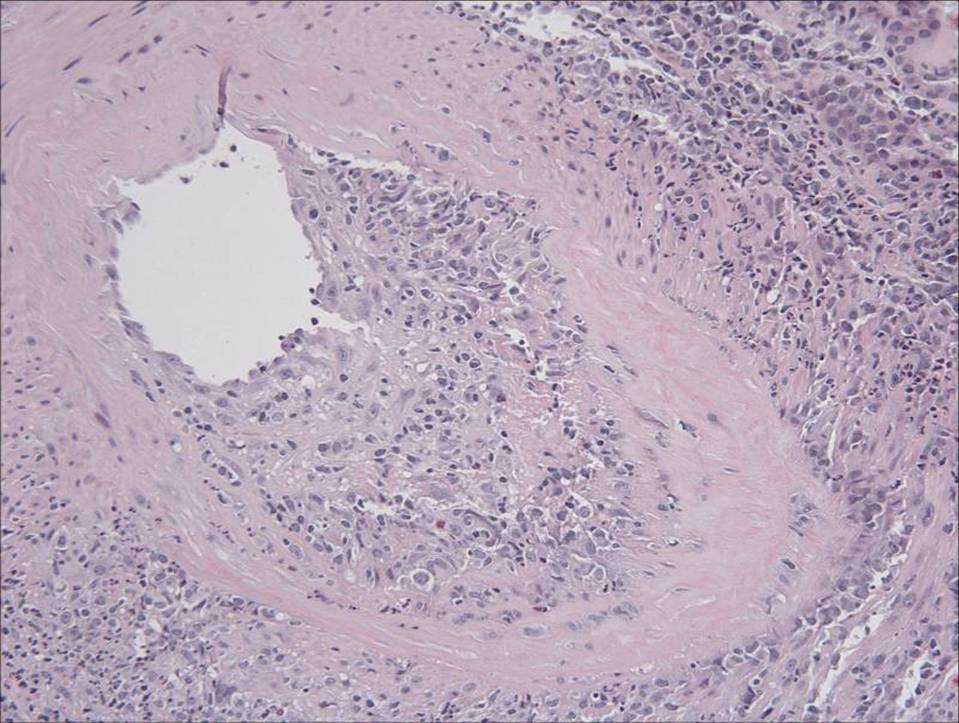
This is a two views of the same section of a medium-sized artery. There is massive infiltration of the vessel wall characteristic of a vasculitis -specifically this has the appearance of polyarteritis nodosa. There was significant fibrin deposition on IF within the walls of the vessel. There was also some mesangial deposition of IgG and IgM.
This is a fascinating case. First, this form of vasculitis is not usually associated with a positive ANCA test and this may have been a red herring. Second, the smaller vessels were normal and if the arcuate artery was not present on the specimen, this patient would likely have been diagnosed with an interestitial nephritis. The proteinuria in this case is probably a result of reduced tubular reabsorption given the fact that there is no significant glomerular disease. The low serum albumin was most likely due to GI losses rather than renal.
Bonus History of Nephrology Point:
Although we associate interstitial nephritis with drug use and know that it was classically described in the setting of methicillin use, AIN was initially described in the setting of acute sepsis. Councilman nephritis was first described in 1898 in autopsy specimens of patients who died with sepsis. Given the plethora of drugs that most septic patients are exposed to these days prior to any biopsy, this is a difficult diagnosis to make at this point but it should be remembered that not all AIN is drugs. The image below is a plate from that paper which is available for free online.







It is well known that chronic inflammation can depress serum albumin levels. Rather than, or in addition to, GI losses, his reduced serum albumin is more likely due to his chronic inflammation secondary to PAN and any other chronic comorbidities.
Those are interesting questions. I was not directly involved in the case – it was presented at biopsy conference so the details are not what they could be.
It is an ongoing case so I also didn't want to delve in much deeper out of fear of inadvertently revealing too much information and potentially allowing the patient to be identified.
I try to stick to the path only in these cases for that reason. I'll try to find out the answer and email you.
Fascinating case Gearoid.
Given the NSTEMI, is there suspicion that his coronaries are involved in the PAN? Now with the biopsy in hand, are there hints in his history of PAN?