Angiomyolipomas

7154 0
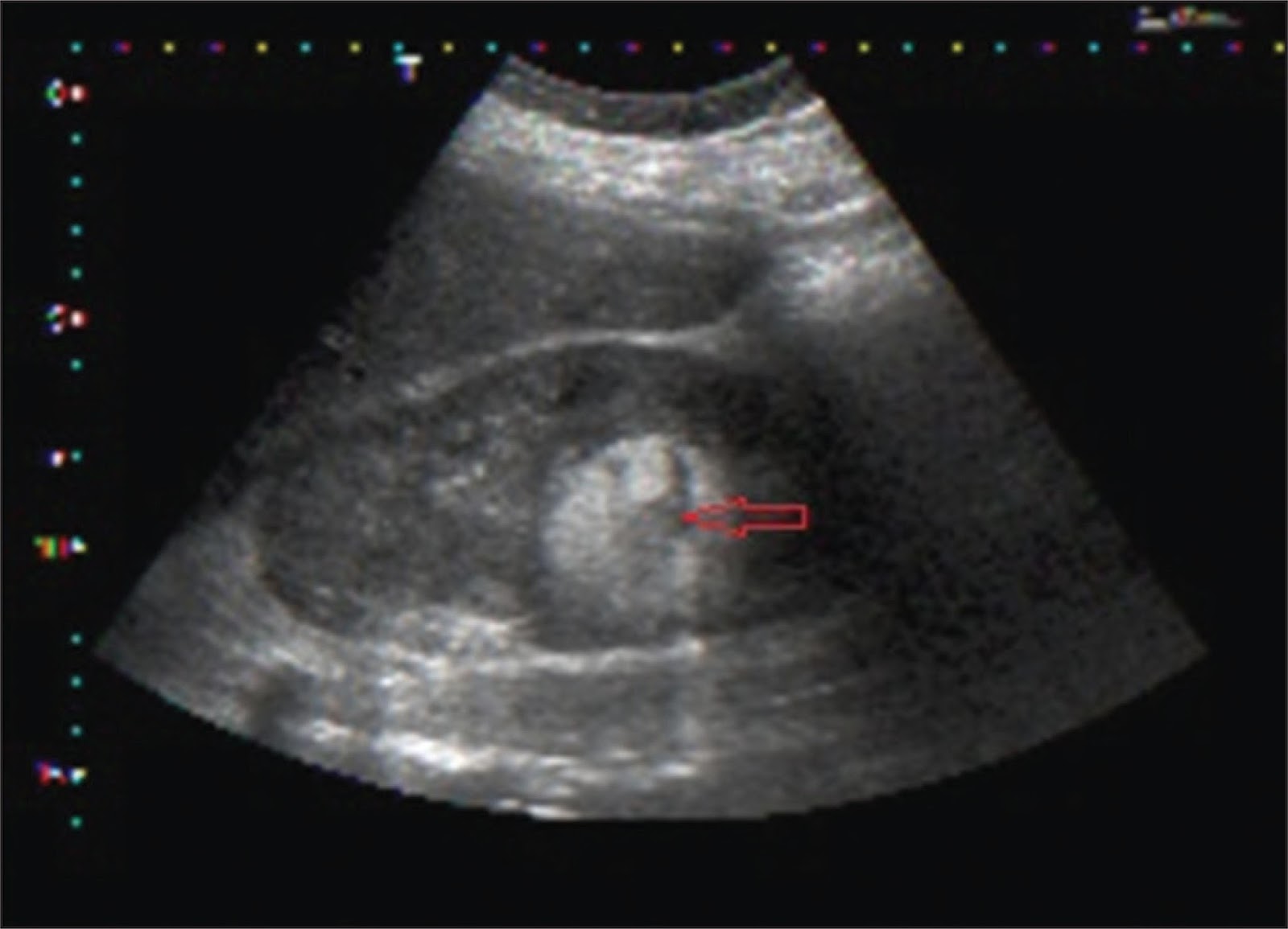
I got an econsult this morning on a young patient with an incidentally-discovered lesion on her kidney which was consistent with an angiomyolipoma. It is not uncommon to see these on ultrasound and there are a few clinical pearls that I thought I would share:

  • Angiomyolipomas (AML) are benign tumors comprised of blood vessels, adipose tissue and smooth muscle. Very occasionally (more commonly in patients with tuberous sclerosis complex), they can be malignant. Malignant AMLs are more likely to be fat-poor, hypoechoic tumors (termed epitheliod AML).
  • The prevalence is about 2% in the general population and they are 4 times more common in women
  • The presence of multiple AMLs suggests the possibility of tuberous sclerosis complex and the possibility that patients have subclinical disease should be kept in the back of your mind.
  • Confirmation of the ultrasound findings should be done with CT or MRI as there are some renal cancers that can be hyperechoic on ultrasound.
  • The hyperechoic nature of these lesions on ultrasound is due to fat in the tumor rather than the vascularity.
  • For unkown reasons, more of these tumors are found on the right side
  • Most of these tumors are slow growing and do not require treatment (surgery or embolization) unless they are >4cm in diameter. mTOR inhibitors may be useful in some patients with unresectable tumors. Patients should be followed-up yearly with ultrasound.
  • Patients on estrogen therapy are more likely to have rapid tumor growth and should be followed up more often.

Image from: http://www.scielo.br/scielo.php?script=sci_arttext&pid=S0100-72032014000800377

Leave a Reply