The picture above comes from a case report in KI where a PD patient presented with hypertension and edema. She was normally compliant and a plain film of her abdomen was performed to make sure that her catheter was properly sited. Densely radiopaque material was found to be present throughout her colon. There was no history of recent contrast studies and she was asymptomatic. What could cause this radiographic appeareance?
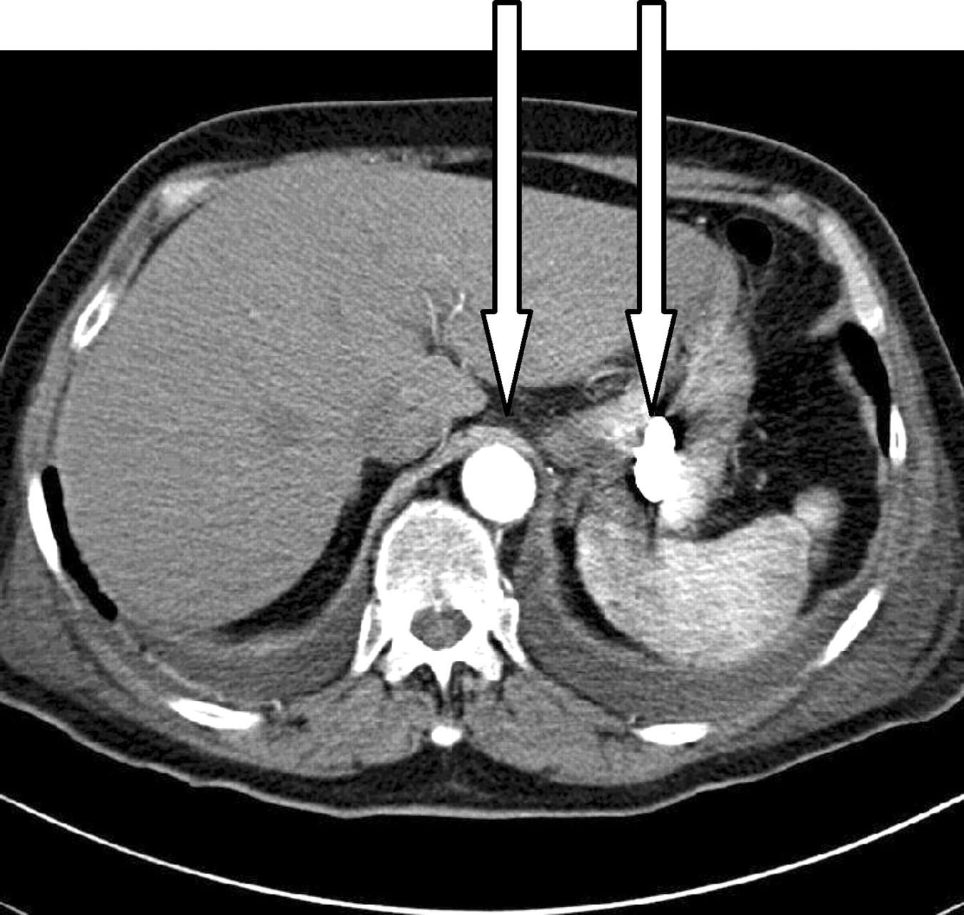
The answer to this mystery lay in her medications. She had been started on the phosphate binder lanthanum carbonate 3 months previously. Lanthanum is a rare earth metal which lies next to barium on the periodic table and has a high affinity for phosphate. It has little systemic absorption and low solubility and remains largely in the intestine after ingestion. It is a high density material with a density between that of bone and metal. The CT above shows lanthanum tablets in the stomach which have a higher density (3000HU) than the radiocontrast in the aorta (450HU). This accumulation appears to cause no ill effects and disappears once the drug is stopped or with the use of laxatives. The main issue is that it may interfere with the interpretation of xrays and radiologists should be informed that a patient is on this drug prior to abdominal imaging in order to prevent confusion.

