Acute oxalate nephropathy is a rare but well described cause of acute kidney injury (AKI) leading to acute tubular necrosis due to the deposition of calcium oxalate crystals within the tubules.
Acute oxalate nephropathy can occur in both primary and secondary hyperoxaluria.
- Primary hyperoxaluria is a group of autosomal recessively inherited enzymatic deficiencies that lead to the increased urinary excretion of oxalate.
- Secondary hyperoxaluria can occur due to increased dietary oxalate intake, increased absorption of oxalate from the bowel (also known as enteric hyperoxaluria), and increased production of oxalate.
This mechanism of enteric hyperoxaluria is manifested in several ways, including with orlistat therapy, Roux-en-Y gastric bypass surgery, celiac disease, and Crohn’s disease. Increased production of oxalate is mainly due to increased levels of oxalate precursors, more commonly glyoxylate, which is associated with ethylene glycol ingestion, and less commonly ascorbic acid. Oxalate nephropathy has also been seen in association with large quantities of iced tea consumption and most recently with “green smoothy cleanse”.
Let’s review a typical clinical scenario.
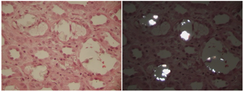
A young patient with history of alcoholic abuse who arrived to the emergency department with seizures, AKI (creatinine of 35 mg/dL, normal baseline), high anion gap metabolic acidosis, high osmolal gap (20 mOsm/l), oliguria, neurological signs and who strongly denied any drugs-of-abuse or suicidal toxic ingestion. The toxicological serum and urine examination did not show any evidence of toxic substances. No alcohol was noted on breath. The measurement of ethylene glycol serum level was not available. No family history of diabetes or any kidney diseases. Because of accompanying seizures, the patient was admitted to the ICU and treated with CRRT. Radiographic imaging demonstrated posterior reversible encephalopathy syndrome (PRES). A kidney biopsy was performed and showed the presence of several calcium oxalate monohydrate crystals mainly within tubular lumens consistent with acute oxalate nephropathy (Figure above). Eventually, the patient confirmed ingestion of small quantities of car antifreeze solution.
Ethylene glycol is a common component of automotive radiator antifreeze solution and is sometimes used as a substitute for ethanol. It can be ingested voluntarily, accidentally, or consumed in a suicidal or homicidal attempt. Ethylene glycol ingestion can lead to AKI from tubular deposition of oxalate crystals and can also cause neurological damage and death.
The diagnosis of ethylene glycol intoxication is based on a history of ingestion, clinical examination, high anion gap metabolic acidosis, high osmolal gap, and a measured serum level of ethylene glycol. However, it is often times difficult to ascertain an exact time frame of ingestion or have 100% certainty of consumption. Often times ethylene glycol levels are unknown as well. In this case kidney biopsy is essential in making the correct diagnosis. Therefore, a high index of suspicion for this disorder should be maintained in the presence of unexplained metabolic acidosis, hyperosmolality, unexplained AKI, and neurologic dysfunction.
Francesca Cianciotta
Nephrology Resident
University of Bari
Italy
