An 18-year-old white man presents to the renal transplant clinic with complaints of fatigue and nausea for the last week. He was the recipient of a deceased donor kidney transplant 12 months prior and has experienced stable allograft function (Cr 1.2 mg/dL) thereafter. His original renal disease was Alport’s syndrome. His current immunosuppressive regimen consists of tacrolimus and mycophenolate mofetil. He reports strict compliance with this regimen. The nephrologist orders bloodwork:
Bun-50 Cr-5.0 UA-3+ blood 3+ protein dysmorphic RBCs noted
Spot protein/creatinine ratio- 5g/d
C3/C4- normal, FK506 level- 10
Renal transplant ultrasound- no gross abnormality
ANCA pending
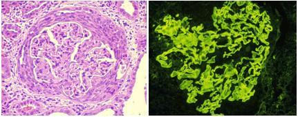
Given the worsening renal function, a transplant biopsy is immediately performed. The light microscopy and immunofluorescence appear below:
The answer and explanation will be posted on Monday June 21st
Michael Lattanzio DO
*RFN board questions are meant to help introduce concepts about nephrology related diseases and do not represent actual questions seen on the ABIM exam.

RPGN
Limited form of renal limited ANCA associated vasculitis
RPGN anti-GBM linear immuno
This is going to be of immense help for those who are students in the scope of medicine and also those who are doing research work.